Laser Treatment for Gum Tissue

On this page you'll see gum treatment by Dr. Hildebrand featuring his real patients.

Vidoes

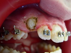
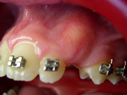
Cuspid Exposure

A simple procedure of waving our special laser on the gum tissue and uncovering a trapped tooth can expedite your braces by over 6 months. This procedure involves NO shots and the patient does not feel any discomfort. We are proud to be the only Orthodontist in our area to offer this specialized service and it is free of charge.


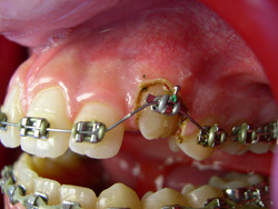
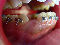
Ulcer

This procedure is done without any shots and is pain free. The specialized laser instantly helps alleviate the painful ulcer. The laser has been a great investment and we have already helped hundreds of our patients with this unique procedure.

Cuspid Before and After

Cuspid 1

before after

Before

After

 

Cuspid 2

before after

Before

After

 

Cuspid 3

before after

Before

After

 

Cuspid 4

before after

Before

After

 

Cuspid 5

before after

Before

After

 

Cuspid 6

before after

Before

After

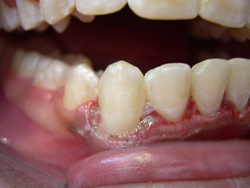
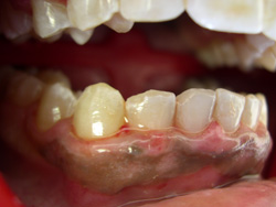
Laser Treatment Before and After

Laser Treatment 1

before after

Before

After

 

Laser Treatment 2

before after

Before

After

Back to Top ↑

Hildebrand Orthodontics | 2200 Interstate 20 W | Suite 100 | Arlington, TX 76017
817-468-4141