Before and After Smiles

On this page you'll see before and after smiles by Dr. Hildebrand featuring his real patients.

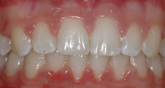
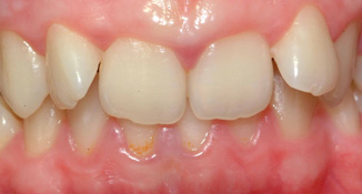
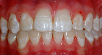
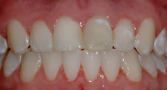
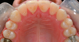
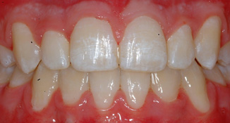
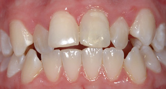
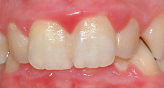
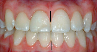
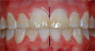
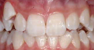
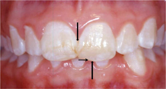
Blocked Out Cuspids and Midline Correction

blocked out cuspid extraction blocked out cuspid extraction

Before

After


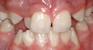
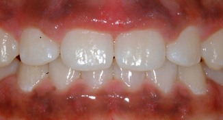
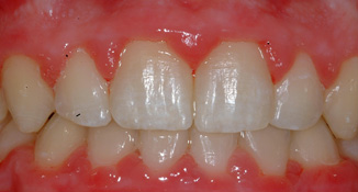
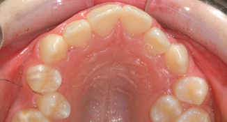
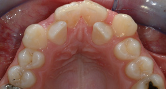
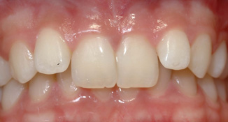
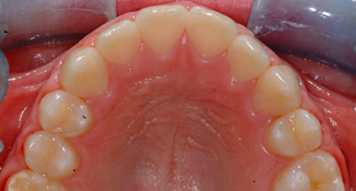
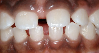
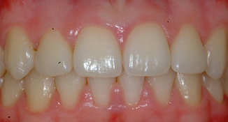
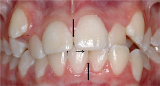
Blocked Out Cuspid Non Extraction

blocked out cuspid non extraction blocked out cuspid non extraction

Before

After


Blocked Out Laterals

blocked out laterals blocked out laterals

Before

After


Blocked Out Laterals Non Extraction

blocked out laterals non extraction blocked out laterals non extraction

Before

After


Blocked Out Upper Back Teeth

blocked out upper back teeth blocked out upper back teeth

Before

After


Deep Bite and Overjet

class II divsion II deep bite class II divsion II deep bite

Before

After


Deep and Flared Teeth

crossbite and deep bite crossbite and deep bite

Before

After


Deep Bite, Crowding and Midline Correction

deep bite and crowding deep bite and crowding

Before

After

lower crowding lower crowding

Before

After


Missing Teeth

missing teeth missing teeth

Before

After


Spacing

spacing spacing

Before

After


Very Deep Bite

very deep bite very deep bite

Before

After

Back to Top ↑

Hildebrand Orthodontics | 2200 Interstate 20 W | Suite 100 | Arlington, TX 76017
817-468-4141